Close Menu
العرب ميدياالعرب ميديا

    اشترك في الإشعارات

    انضم الى قائمة الإشعارات البريدية ليصلك كل جديد مباشرة الى بريدك الإلكتروني

    رائج الآن

    “حياد سويسرا” يضرب المقاتلات الأمريكية.. برن توقف تصدير السلاح لواشنطن بسبب “حرب إيران”!

    الأحد 22 مارس 11:54 ص

    شاهد.. هدف ميسي رقم الـ900 في مسيرته

    الأحد 22 مارس 11:45 ص

    تحذير من “شبح غلاء الوقود”.. “يونايتد إيرلاينز” تبدأ تقليص رحلاتها الدولية

    الأحد 22 مارس 11:44 ص
    فيسبوك X (Twitter) الانستغرام
    العرب ميدياالعرب ميديا
    • الرئيسية
    • اخر الاخبار
    • سياسة
    • اقتصاد
    • تكنولوجيا
    • رياضة
    • صحة
    • المزيد
      • فنون
      • سياحة وسفر
      • موضة وجمال
      • منوعات
    فيديو
    العرب ميدياالعرب ميديا
    الرئيسية»صحة»متلازمة XXXX.. الأعراض والأسباب والعلاج
    صحة

    متلازمة XXXX.. الأعراض والأسباب والعلاج

    فريق التحريرفريق التحريرالإثنين 11 مارس 1:54 م
    فيسبوك تويتر واتساب تيلقرام بينتيريست البريد الإلكتروني لينكدإن رديت

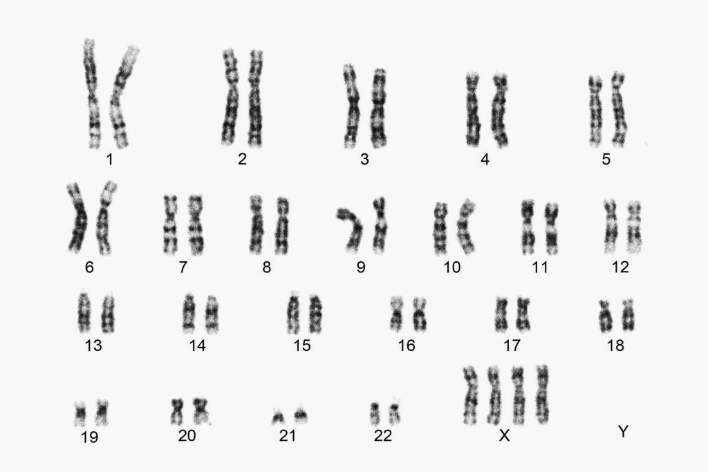
    تصنف متلازمة XXXX من الاضطرابات الكروموسومية، وهي تصيب الإناث فقط وتنتج عن وجود 4 نسخ من كروموسوم إكس X بدلا من نسختين. فما أعراضها؟ وهل هناك علاج؟

    ما هو كروموسوم X إكس؟

    تحتوي الخلايا البشرية -باستثناء خلايا الحيوانات المنوية والبويضات- على 46 كروموسوما هي مخزن المادة الوراثية، وتأتي هذه الكروموسومات في 23 زوجا، كل كروموسومين على حدة، 22 زوجا منها تسمى بالكروموسومات الجسمية، والزوج الأخير تسمى كروموسوماته بالجنسية، فهو يحدد جنس الشخص، فالأنثى يكون لديها هذا الزوج مكونا من كروموسومي X، ويكتب XX، أما الذكر فيحتوي على جين Y وآخر X، ولذلك يكتب XY.

    وتصيب متلازمة XXXX الإناث فقط، وتنتج عن وجود 4 نسخ من كروموسوم إكس بدلا من نسختين. لدى الإناث المصابات بها إجمالي 48 كروموسوما في خلاياهن، لذلك يتم كتابة هذه الحالة أحيانا باسم متلازمة إكس إكس إكس إكس، 48.

    أسماء أخرى لمتلازمة XXXX

    • “متلازمة إكس إكس إكس إكس، 48”  (48 XXXX syndrome)
    • “رباعي إكس” (Quadruple X)
    • “تيترا إكس”  (Tetra X)
    • “رباعي الصبغي إكس” (Tetrasomy X)

    كيف تحدث متلازمة XXXX ؟

    تحدث “متلازمة XXXX بسبب طفرات جينية، تعرف أيضا باسم المتغيرات المسببة للأمراض. يمكن أن تكون الطفرات الجينية وراثية، عندما ينقلها الآباء إلى أطفالهم، أو قد تحدث بشكل عشوائي عندما تنقسم الخلايا. قد تنجم الطفرات الجينية أيضا عن الفيروسات المصابة، أو العوامل البيئية، مثل الأشعة فوق البنفسجية الناتجة عن التعرض لأشعة الشمس، أو مزيج من أي من هذه العوامل.

    تختلف علامات وأعراض متلازمة XXXX، ولكنها يمكن أن تشمل صعوبات خفيفة إلى متوسطة في النطق والتعلم، تأخر النمو، تشوهات الأسنان، عيوب القلب، تشوهات مفصل الفخذ، ومشاكل في وظيفة المبيض. كما تم الإبلاغ عن زيادة خطر الإصابة بالعدوى في مرحلة الطفولة.

    عمر ظهور أعراض متلازمة XXXX

    قد تبدأ الأعراض العمرية بالظهور بشكل يختلف بين الأمراض. قد تبدأ الأعراض في فئة عمرية واحدة، أو خلال عدة فئات عمرية. قد تبدأ أعراض بعض الأمراض في أي عمر.

    أعراض متلازمة XXXX

    • تشوهات في الأسنان.
    • ضعف الإدراك
    • عجز في التفكير أو الاستدلال أو التذكر.
    • تأخر في النمو الحركي والعقلي للطفل، بما في ذلك المهارات الحركية والكلام واللغة، والمهارات المعرفية، والمهارات الاجتماعية والعاطفية.
    • زيادة المسافة بين العينين.
    • ضعف العضلات.
    • زيادة الحركة والمرونة في المفاصل، مما يجعلها تتحرك خارج نطاق الحركة المتوقع.
    • صعوبات التعلم.
    • الحول.
    • تشوهات مفصل الفخذ.
    • تشوهات القلب والأوعية الدموية.
    • خلل في الجهاز المناعي.
    • قصور المبيض المبكر، مما يؤدي إلى انقطاع الطمث قبل سن الأربعين.

    علاج متلازمة XXXX

    لا يمكن إصلاح الخطأ الكروموسومي الذي يسبب متلازمة XXXX، بالتالي فإن المتلازمة نفسها ليس لها علاج. يعتمد العلاج على التعامل مع الأعراض وتقليلها مثل صعوبات التعلم.

    شاركها. فيسبوك تويتر بينتيريست تيلقرام واتساب البريد الإلكتروني

    المقالات ذات الصلة

    علامات خطر أثناء الصيام.. متى تفطر فورا؟

    صحة الإثنين 02 مارس 1:40 م

    متى تتحول ضربة الرأس إلى خطر يستدعي الطوارئ؟

    صحة الإثنين 02 مارس 12:38 م

    ماذا يقول العلم عن ممارسة الرياضة خلال الصيام؟

    صحة الإثنين 02 مارس 11:37 ص

    من الهرمونات إلى التوتر.. ما الذي يسرق شعر النساء؟

    صحة الإثنين 02 مارس 10:35 ص

    ‫هذه الأغذية تهددك بالنقرس

    صحة الخميس 04 ديسمبر 3:24 م

    ‫التصلب المتعدد.. هذه العوامل تؤثر على مسار المرض

    صحة الخميس 04 ديسمبر 2:23 م

    الإحصاء الفلسطيني: 42 ألف شخص في غزة يعانون إصابات جسيمة تتطلب تأهيلا مستمرا

    صحة الخميس 04 ديسمبر 1:22 م

    مسؤولون صحيون سابقون في الولايات المتحدة يعربون عن قلقهم من تغيير محتمل في سياسة اللقاحات

    صحة الخميس 04 ديسمبر 12:21 م

    تجربتي مع دعامة الانتصاب مع دكتور أدهم زعزع

    صحة الأحد 02 نوفمبر 4:45 م
    اخر الأخبار

    “حياد سويسرا” يضرب المقاتلات الأمريكية.. برن توقف تصدير السلاح لواشنطن بسبب “حرب إيران”!

    الأحد 22 مارس 11:54 ص

    شاهد.. هدف ميسي رقم الـ900 في مسيرته

    الأحد 22 مارس 11:45 ص

    تحذير من “شبح غلاء الوقود”.. “يونايتد إيرلاينز” تبدأ تقليص رحلاتها الدولية

    الأحد 22 مارس 11:44 ص

    باسم سمرة يثير الجدل بتصريحه عن اعتزاله الفن!

    الأحد 22 مارس 11:37 ص

    استون مارتن يتحرك نحو ويتلي وسط إعادة هيكلة يشرف عليها نيوي

    الأحد 22 مارس 10:44 ص

    شقيق نجم عالمي يسير على خطاه ويعتنق الإسلام!

    الأحد 22 مارس 10:36 ص

    اندريك يحدد هدف البرازيل في المونديال

    الأحد 22 مارس 9:43 ص
    اعلانات
    Demo

    العرب ميديا هي جريدة يومية عربية تهتم بآخر اخبار الوطن العربي
    والشرق الأوسط والعالم، تأسست عام 2002. تابع معنا اخر اخبار الاقتصاد والرياضة والسياسة واهم القضايا التي تهم المواطن العربي.

    الإدارة: [email protected]
    للإعلان معنا: [email protected]

    فيسبوك X (Twitter) الانستغرام يوتيوب
    اختيارات المحرر

    “حياد سويسرا” يضرب المقاتلات الأمريكية.. برن توقف تصدير السلاح لواشنطن بسبب “حرب إيران”!

    الأحد 22 مارس 11:54 ص

    شاهد.. هدف ميسي رقم الـ900 في مسيرته

    الأحد 22 مارس 11:45 ص

    تحذير من “شبح غلاء الوقود”.. “يونايتد إيرلاينز” تبدأ تقليص رحلاتها الدولية

    الأحد 22 مارس 11:44 ص
    رائج الآن

    باسم سمرة يثير الجدل بتصريحه عن اعتزاله الفن!

    الأحد 22 مارس 11:37 ص

    استون مارتن يتحرك نحو ويتلي وسط إعادة هيكلة يشرف عليها نيوي

    الأحد 22 مارس 10:44 ص

    شقيق نجم عالمي يسير على خطاه ويعتنق الإسلام!

    الأحد 22 مارس 10:36 ص
    2026 © العرب ميديا. جميع الحقوق محفوظة.
    • من نحن
    • سياسة الخصوصية
    • اعلن معنا
    • اتصل بنا

    اكتب كلمة البحث ثم اضغط على زر Enter